Sinus frontal

Coupe de 1 mm passant par la partie antérieure du sinus frontal

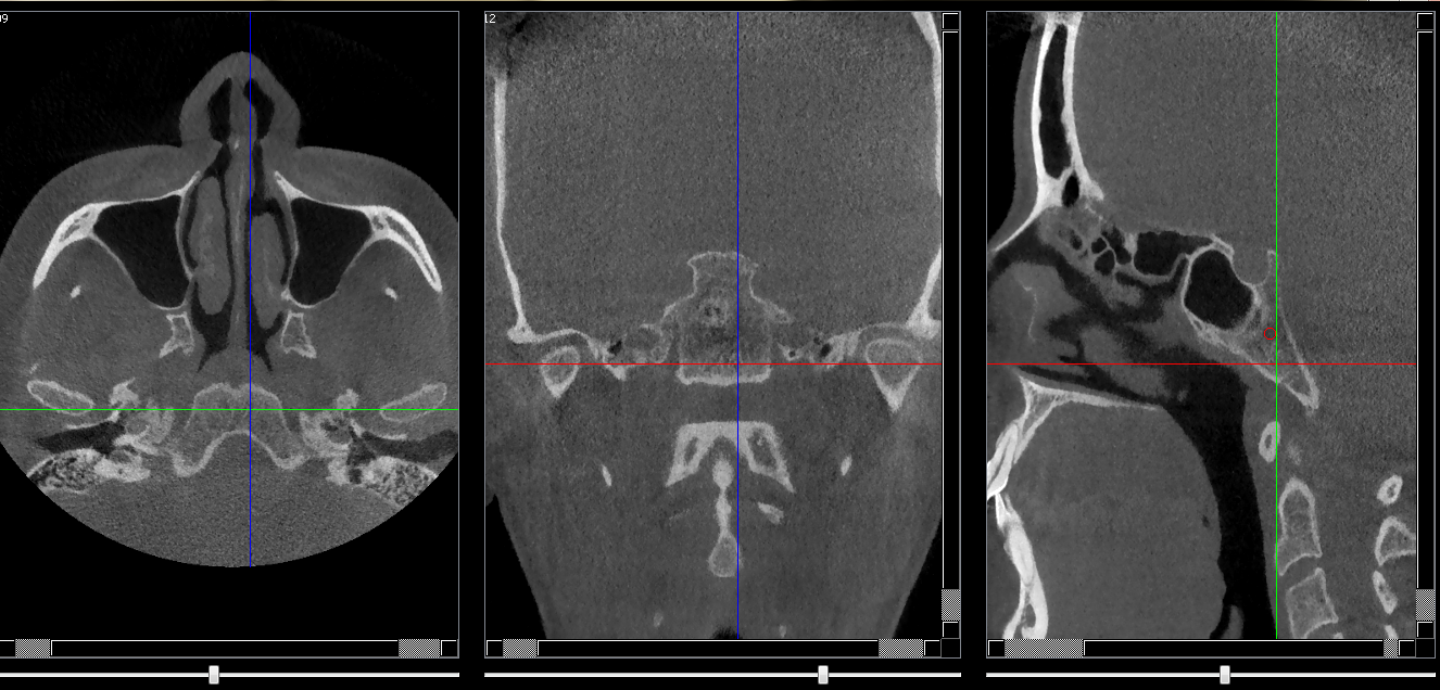
Condyles

Coupe de 0.15 mm passant par le centre des fosses mandibulaires montrant les condyles

Clivus

Coupe de 1 mm passant par la région postérieure montrant le clivus

Etes-vous prêt à explorer un cône beam ?

Commencer