Structures osseuses
Zygoma
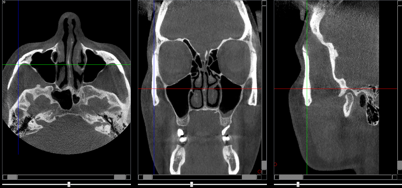
Repères anatomiques
- Coupe transversale
- Début : Milieu du sinus
- Fin : Suture fronto-zygomatique
- Coupe frontale
- Début : Plafond du sinus maxillaire
- Fin : clivus(paroi post du sinus sphénoidal)
- Coupe saggitale
- Début : Paroi externe du zygoma
- Fin : Partie externe du sinus maxillaire
Infos sur l'image
- Auteur : Pr Bourzgui
- Co-auteur : Dr Makoure
- Affiliation : Orthopédie dento-faciale
- Date production : 2019

